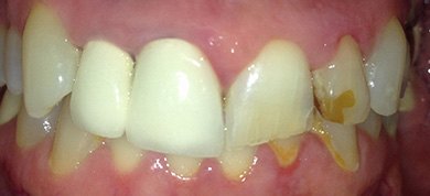
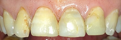
Smile Gallery
At Bristol Family Dental, our team of dentists and staff have the expertise to handle your dental needs. We strive to help you get the smile that you'll love. Here is some of the amazing work our team has done.
At Bristol Family Dental, our team of dentists and staff have the expertise to handle your dental needs. We strive to help you get the smile that you'll love. Here is some of the amazing work our team has done.